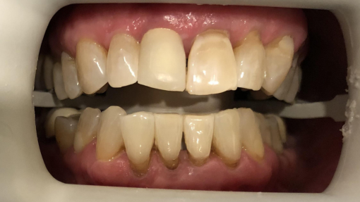
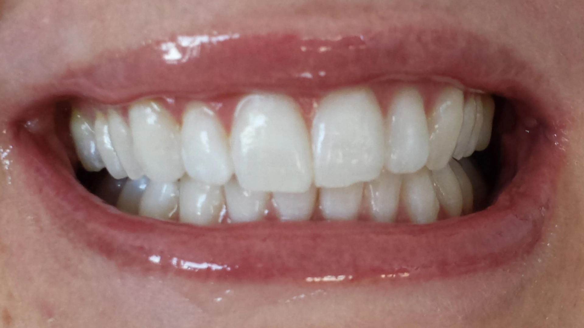
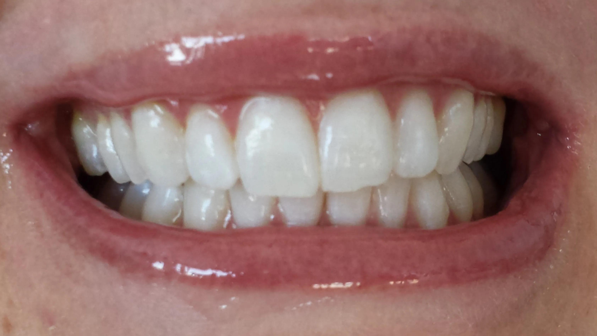
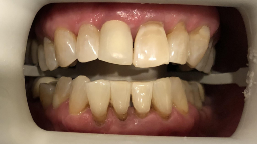
ZOOM! Teeth Whitening Gallery
We understand the desire for a bright and confident smile. Our ZOOM! teeth whitening treatments offer a safe and effective way to enhance the appearance of your teeth. With our professional-grade whitening system, we can help you achieve a radiant smile that boosts your confidence and leaves a lasting impression.
Smile Gallery
Benefits
Benefits of ZOOM!
Choosing our ZOOM! Teeth Whitening services at Cherry Blossom Dentistry offers numerous benefits, including:
What is Zoom Whitening?
It’s natural for teeth to darken and yellow as we age. Drinking tea, coffee, wine, and soda can exacerbate the problem. Smoking can cause staining as well. But luckily, Zoom Teeth Whitening is an excellent solution to this pesky problem.
Zoom Teeth Whitening is a form of laser treatment. It lightens the staining or discoloration of tooth enamel. It is a simple, non-invasive procedure that usually takes 2 hours to complete, start to finish.
The process combines a special lamp, referred to as a Zoom light or Zoom laser, with a hydrogen peroxide-based whitening gel. Using both, we will bleach each tooth and produce a brighter smile by the end of the treatment.
How Does it Work?
A high concentration of hydrogen peroxide is used in the gel that covers your teeth. When the peroxide comes into contact with the intense light emitted from the lamp, it breaks down. Then it dissolves a thin layer over top of the enamel and releases oxygen into the teeth. The oxygen then helps to flush out and get rid of tooth discoloration that has set in.
Think of it like you’re giving your teeth a chemical bath. As an added bonus, Zoom whitening does not affect the physical structures of your teeth at all. This low-risk procedure is one of the best teeth whitening options out there.
Before You Book
If you’re on the fence or want to know more about Zoom, book a consultation with our dentist or hygienist. At your consultation, we will explain the ins and outs of the procedure. We will review your gums and teeth, and ask you about your goals. Finally, we will discuss potential treatment options. You can also use this time to ask as many questions as you want.
There may be times when we encourage Zoom whitening. For example, if you’re undergoing another kind of procedure, like receiving veneers. Zoom whitening may help you end up with a more natural look.
Your consultation may also determine that you are not the right fit for Zoom teeth whitening. Perhaps the procedure would have adverse interactions with other work you’ve had done.
Preparing for the Procedure
The first thing to do before your Zoom treatment is to book a regular cleaning appointment. Getting your teeth cleaned will help them respond best to the treatment. This is because the cleaning will remove any surface stains or plaque that have built up on your teeth.
The Procedure
The full Zoom teeth-whitening treatment starts with preparing you for the procedure. The hygienist will place a covering over your gums and lips so that only the teeth are visible andl give you protective eyewear. A layer of the whitening gel will be applied on top of your teeth and the Zoom lamp positioned in place for 15 minutes.
This process is repeated three to four times. Between each session, the hygienist checks for progress. If needed, they will adjust the light or add more gel to your teeth.
It may be hard to hold the right position for each session, but we will do our best to help you stay comfortable. Once you’re finished with sessions, the dentist will coat your teeth in a paste. This helps reduce sensitivity, which can occur in some patients.
Zoom Treatment After Care
After your treatment is complete, you will get all cleaned up and are free to go. Of course, it is important to know what you can and cannot consume immediately after your procedure (hint: none of those staining drinks mentioned earlier!). Resuming smoking post-procedure is discouraged. It can rapidly reverse the effects of the treatment and cause greater damage to your teeth.
You will receive a thorough list of what you should avoid eating on your way out. You may also get whitening toothpaste and a custom-fitted set of whitening trays. You can use the trays for touch-ups if you need them. Your hygienist will let you know how long you need to avoid certain foods or beverages. They’ll make sure you have everything you need to care for and maintain your new smile.
This process is repeated three to four times. Between each session, the hygienist checks for progress. If needed, they will adjust the light or add more gel to your teeth.
It may be hard to hold the right position for each session, but we will do our best to help you stay comfortable. Once you’re finished with sessions, the dentist will coat your teeth in a paste. This helps reduce sensitivity, which can occur in some patients.
Considerations and Cost
One thing to consider when looking into Zoom whitening is sensitivity. Sensitivity can occur during and after treatment. The hydrogen peroxide whitening gel removes a thin layer that rests on top of the tooth enamel.
This is called the pellicle. The pellicle keeps your teeth from being sensitive to hot and cold foods. It is important to be aware that your teeth may feel more sensitive after treatment. You may also feel some discomfort during treatment, as a result. This layer will grow back within a couple of days after treatment.
Taking over-the-counter pain medication before your appointment can help lessen these side-effects.
Finally, note that if you are pregnant, nursing, or under 13 years of age, Zoom is not a recommended procedure for you.
You will receive a thorough list of what you should avoid eating on your way out. You may also get whitening toothpaste and a custom-fitted set of whitening trays. You can use the trays for touch-ups if you need them. Your hygienist will let you know how long you need to avoid certain foods or beverages. They’ll make sure you have everything you need to care for and maintain your new smile.
This process is repeated three to four times. Between each session, the hygienist checks for progress. If needed, they will adjust the light or add more gel to your teeth.
It may be hard to hold the right position for each session, but we will do our best to help you stay comfortable. Once you’re finished with sessions, the dentist will coat your teeth in a paste. This helps reduce sensitivity, which can occur in some patients.
Is Zoom Whitening for You?
Zoom Teeth Whitening is a fast and effective way to brighten your smile. If you have lingering questions or want to find out how to book your first consultation, contact us.
Request an Appointment
Trust Cherry Blossom for Exceptional Services
At Cherry Blossom Dentistry, we are dedicated to delivering exceptional cosmetic dentistry services. With our skilled cosmetic dentist and state-of-the-art techniques, we strive to create stunning smiles that exceed your expectations. Contact us today to schedule a consultation and take the first step towards your dream smile.









