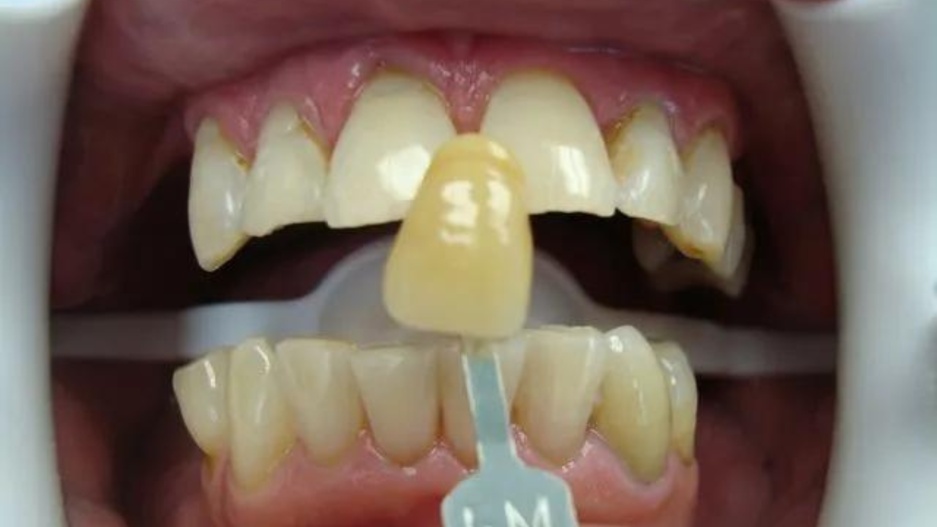
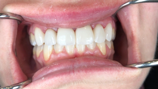
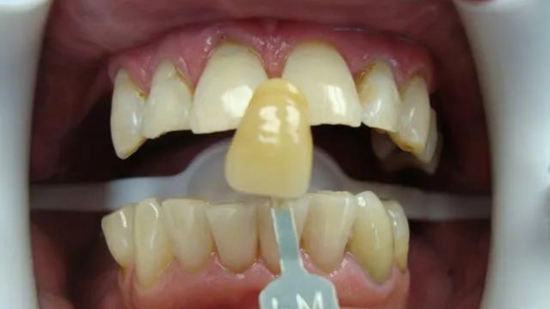
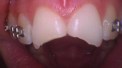
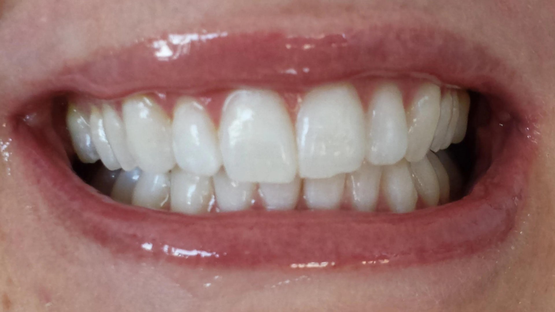
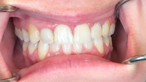
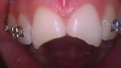
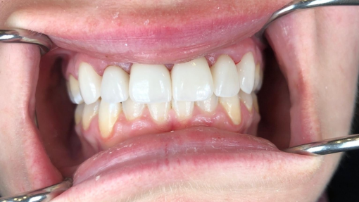
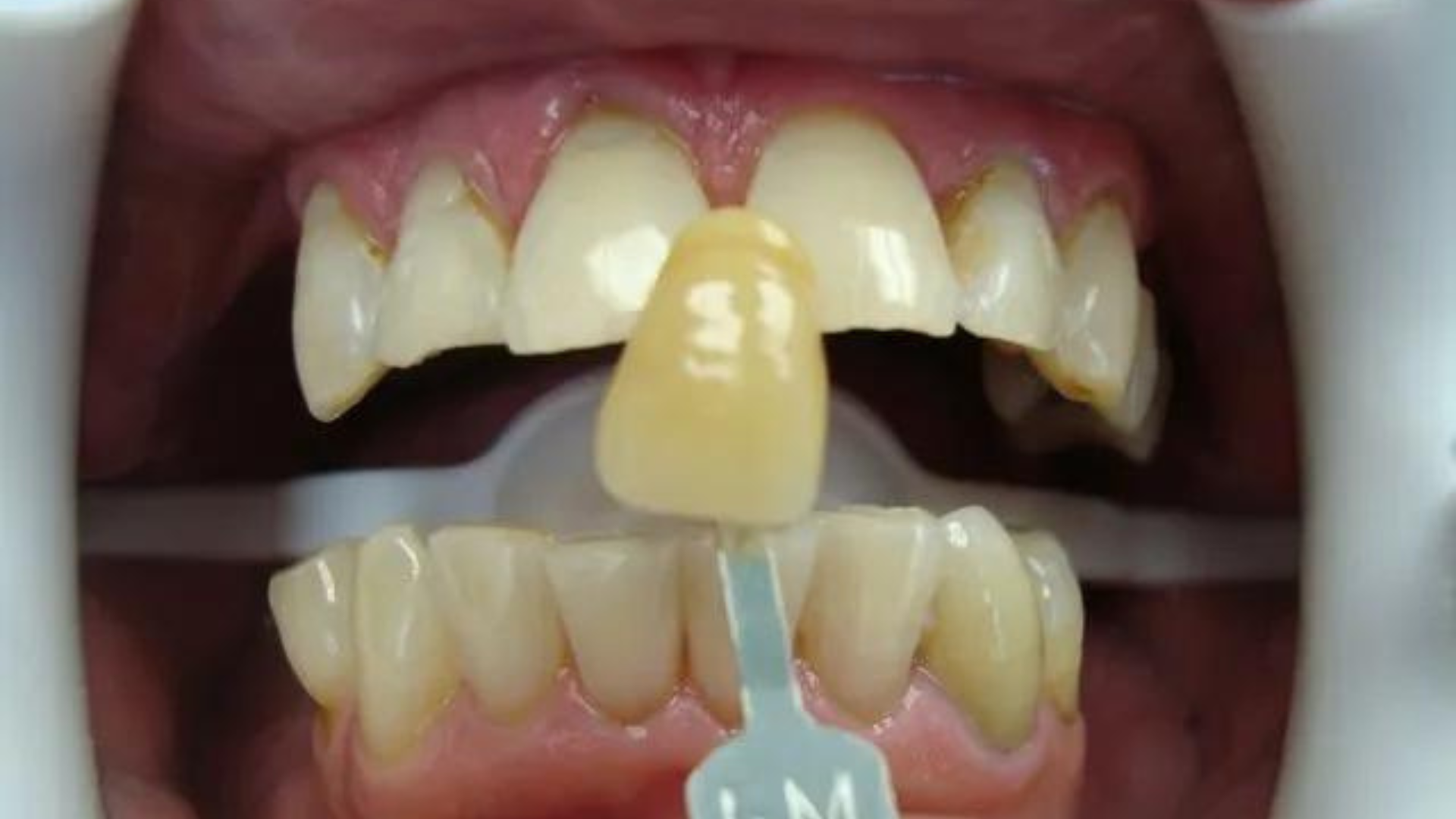
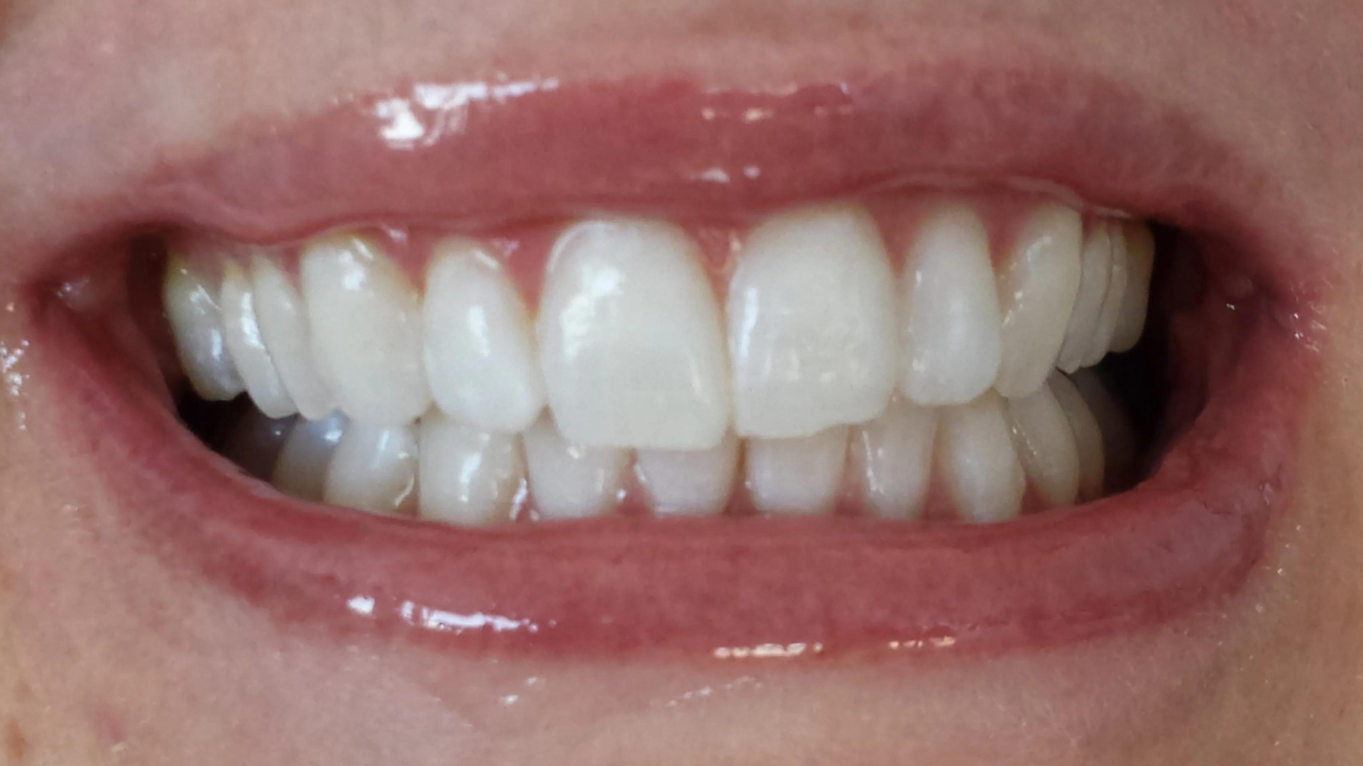
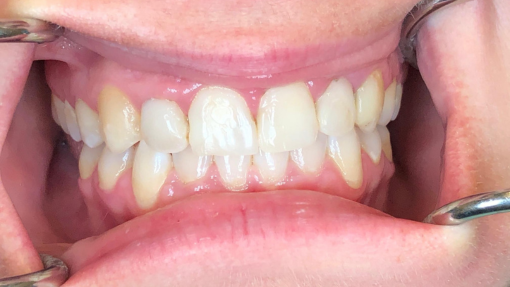
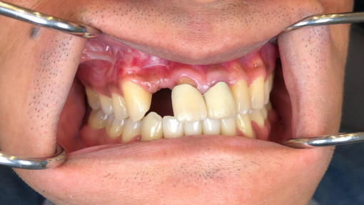
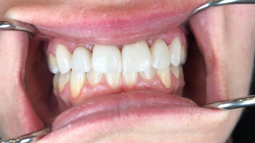
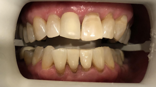
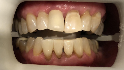
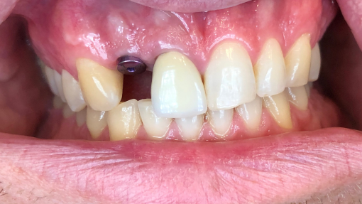
Smile Gallery
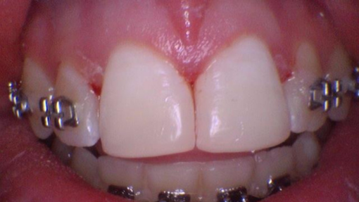
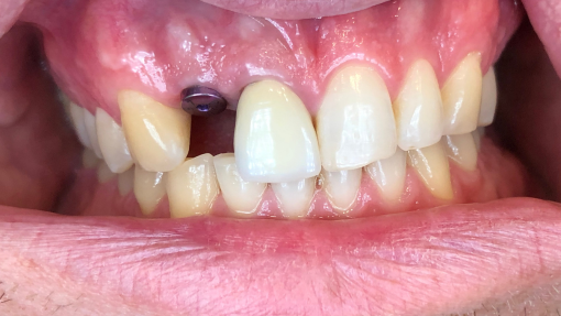
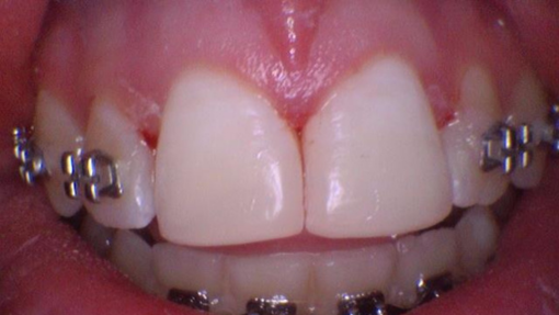
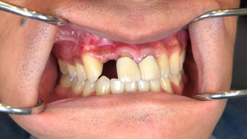
We proudly showcase the transformational power of our dental services. Explore these before-and-after photos to witness the remarkable journeys our patients have undertaken to achieve healthier, more confident smiles. Each image tells a unique story of dental excellence, demonstrating the outstanding results we strive to achieve for every individual we serve.
Anterior Bridge Smile Gallery
Anterior Crowns Smile Gallery
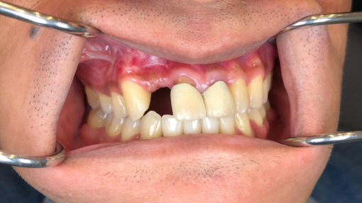
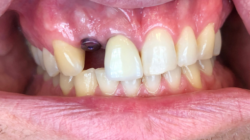
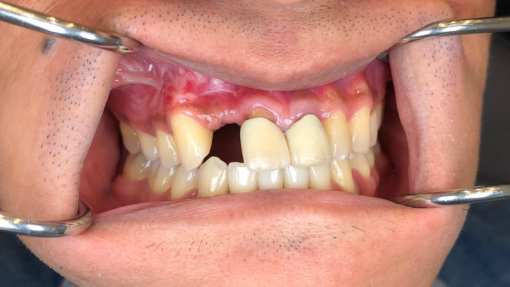
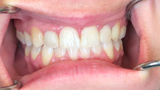
Anterior Dental Implant Smile Gallery
Bonding Smile Gallery
Dental Cleaning Smile Gallery
ZOOM! Whitening Smile Gallery
Request an Appointment
Trust Cherry Blossom for Exceptional Services
At Cherry Blossom Dentistry, we are dedicated to delivering exceptional cosmetic dentistry services. With our skilled cosmetic dentist and state-of-the-art techniques, we strive to create stunning smiles that exceed your expectations. Contact us today to schedule a consultation and take the first step towards your dream smile.























